首頁
關於我們
誠樂牙醫
門診時間
醫師團隊
品牌介紹
最新消息
科別介紹
預約看診
新知案例
目前位置:
首頁
科別介紹
微創植牙/牙周病
新知案例
自體牙齒移植
自體牙齒移植
※誠樂提供多位專業醫師協助,各個療程因個人需求、狀況而有不同,皆致力達到完美需求※
乾坤大挪移:自體牙齒移植讓你不用做假牙
這十幾年來,牙科醫療在材料、儀器以及技術上都有很大的進步,其中最顯著的改變是傳統的假牙逐漸被植牙所取代,人們面臨缺牙的重建問題時,不喜歡傳統的牙橋或活動假牙,因為傳統的牙橋會削磨正常支台牙的齒質,而活動假牙則無法提供良好的生活品質,而人工植牙既不用削磨牙齒,又可做成固定假牙,因此成為較理想的重建方法。
但是人工植牙費用較高,所以常讓病人望之却步,其實在某些情況,病人自已的牙齒也可以用來植入缺牙區,這就是所謂的「自體牙齒移植」,它的費用比人工植牙低上許多,如果病人本身的條件符合「自體牙齒移植」的需求,那我們可以提供給病人多一種選擇,如果是對病人有利的醫療,我相信應該值得推廣。
那麼何謂「自體牙齒移植」呢?傳統的定義就是「把口內一顆牙齒拔起來,移植到口內另一個位置。」那麼在什麼情況下可以考慮做「自體牙齒移植」呢?一般而言,如果口內有一顆牙齒無法修復,必須拔除,或已拔除,而同時有另一顆無用之牙齒或智齒,可以考慮將此顆牙齒移植到必須被拔除的牙齒位置,而考慮的因素包括:
一.病人:
年輕、身體健康的病人較為適合,而且病人配合度要高,因為病人須要常回診追蹤檢查。
二.提供植牙之牙齒的條件:
1.必須沒有功能
2.牙根最好尚在發育中,如果已發育完成,則必須做根管治療。
3.牙根最好是單根錐形。
4.牙冠形狀、大小、儘量接近被拔除的牙齒。
5.牙齒健康、無蛀牙及牙周病。
三.被植入牙齒區域的考量:
必須沒有急性發炎狀態
拔除牙齒後的齒槽,其寬度、深度必須足以容納被植入之牙齒。
如果以上這些條件大致合符合,自體牙齒移植的成功率才會高,因此術前的評估、篩選是很重要的。以下就介紹幾個成功的病例:
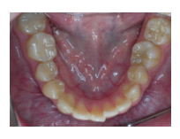
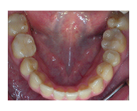
病例一:
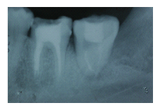
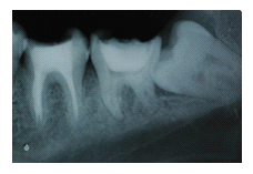
43歲女性病人,如圖1A所示。病人由其他醫師轉診來拔除左下顎嚴重蛀牙的第二大臼齒與阻生智齒,理論上如果拔除此第二大臼齒後,必須以人工植牙重建之,但是病人有經濟上的考量,因此與病人討論過後,決定將同時欲拔除的 阻生智齒移植入第二大臼齒齒槽,雖然病人年紀稍大,仍值得一試,圖1B 是術後一個月的X光片,由於病人年紀較大,智齒在植入缺牙區域時,已同時作根管治療,圖1C是術後四個月的X光片,根管內充填的是Vitapex(Ca(OH)2),圖1D是術後一年四個月後的X光片,智齒牙根尖的骨頭已經全部再生回來,而且牙根無黏連的情形,臨床上牙齒動搖度小於1,牙周組織健康,而其前面的第一大臼齒情況良好,咬合正常。
圖1A
圖1B
圖1C
圖1D
病例二:
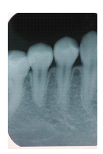
22歲男性病人,五年前齒顎矯正醫師,將其嚴重蛀牙的右下顎第一大臼齒拔除,如圖2A所示。再將第二大臼齒以矯正力量拉至第一大臼齒的位置,矯正結束後,再次評估,認為此第二大臼齒蛀牙太嚴重,仍無法保留,決定予以拔除,如圖2B所示。同時將右上顎阻生智齒,如圖2C,移植過來。如圖2D、2E為術後一個月之X光片,由於病人尚年輕,因此暫不予以根管治療,觀察智齒是否可保留牙髓活性。圖2F為術後一年半的情形,智齒牙根尖周圍的骨頭已全部再生回來,並無牙根黏連情形,而且牙髓仍保持其活性,牙周情況良好,咬合正常。
圖2A
圖2B
病例三:
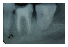
19歲女性病人,小時候左下顎第二小臼齒不明原因被拔除,導致第一臼齒往前傾倒,如圖3A、3B 所示。一年前齒顎矯正醫師將第一大臼齒以矯正力量漸漸扶正,如圖3C所示。由於病人的右下顎第二大臼齒因為矯正需要必須拔除,因此轉診而來,希望將右下顎第二大臼齒(如圖3D),移植至左下顎第二大臼齒之缺牙區,如圖3E。圖3F為術後一個禮拜的X光片,牙齒已經根管治療。圖3G、3H為術後一年的情況,牙根尖骨頭已完全再生回來,牙周情況良好,咬合正常
圖3A
圖3D
圖3E
圖3F
圖3G
自體移植Q&A
Q︰做牙齒自體移植有沒有年齡的限制?
A:一般而言,年紀越輕越好,因為拿來移植的牙齒,其牙根發育若尚未完成,移植的成功率會較高,但是我們的病人有40幾歲的,治療效果也頗佳。
Q:做牙齒自體移植會不會很不舒服?
A:做牙齒自體移植會上局部麻藥,術中不會疼痛,術後之不適與拔牙類似,會有些許疼痛感,可以服用止痛藥緩解不適,移植部位須避免咀嚼食物約1個月,以維持移植部位牙齒的穩定。
Q︰牙齒自體移植的成功率有多少?
A︰牙齒自體移植的成功率與病人本身的條件、手術過程、病人回診配合度都有關係,經由嚴謹的
病人篩選,配合無傷害性的拔牙,至目前為止,我們的成功率在95%以上。
Q:我有一顆大臼齒,因為蛀牙,一個月之前被拔除,現在還能做牙齒自體移植嗎?
A:牙齒若被拔除,其周圍的齒槽骨會馬上被吸收,所以齒槽骨的寬度會變小,以致於無法容納要移植過來的牙齒,因此必須先評估目前剩下的齒槽骨寬度是否足夠做牙齒自體移植。這就是為什麼我們建議拔牙與牙齒移植必須同步進行。
Q:因為牙周病拔除的牙齒可以做牙齒自體移植嗎?
A:因為牙周病拔除的牙齒,其齒槽骨都已因為牙周病而大量吸收,因此不適合做牙齒移植。
Tweet
療程介紹
齒顎矯正
兒童青少年牙科
美容美白/假牙
微創植牙/牙周病
顯微根管
口腔外科
家庭牙科
熱門關鍵字
顯微根管治療
全口重建
齒顎矯正
兒童青少年牙科
植牙
牙周病
小小牙醫
舒眠
嚴重蛀牙
兒童牙醫
美白貼片
拔智齒
熱門文章
齒顎矯正介紹
齒顎矯正Q&A
我適合那一種牙齒美白?
全口植牙重建人工植牙
矯正