乳牙由出生後6、7個月長出來,到11、12歲換牙完畢,在口中時間亦有數年至10年,可說是陪著孩童一起成長的重要利器。究竟乳牙在我們人生中扮演著什麼角色呢?
※兒童牙科主要分類:
一.咀嚼、助消化: 牙齒最主要的功能為咀嚼,且食物童年時期為小朋友成長發育最重要之階段,在成長的過程中,孩子必須攝取均衡及足量的營養。
二.說話、發音: 沒有前排的牙齒,孩子在說話時,常有「漏風」的現象而口齒不清。因而不想說話,影響心理健康。
三.維持顏面外觀: 一口健康、潔白的乳牙,會使孩子看起來很可愛。
四.維持顎骨的正常發育、咬合的正常: 許多小孩乳牙早失,如果他是一邊的乳牙喪失,只好靠另一側的牙齒咀嚼,久而久之,可能使咬合歪掉,影響顏面的對稱性。
五.引導恆牙的萌發,保持正常萌牙的空間: 乳牙在適當時期會脫落由恆牙取代,若有乳牙的誘導及適當的空間,則恆牙得以順利萌發。若乳牙因病變或其他因素而提早脫落,或鄰接面齲齒未予以合適之復形,則恆牙萌發空間會不足,甚至長不出來。
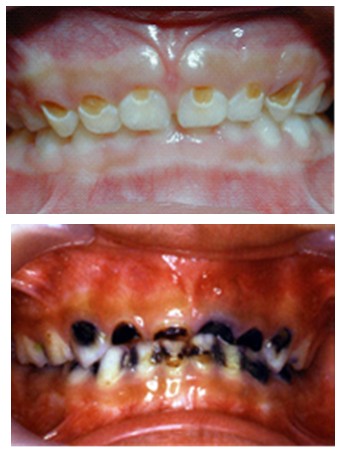
牙齒蛀牙了怎麼辦

乳牙套的好處是代替傳統填補物容易脫落的缺點,並可保護乳牙及預防蛀牙和恢復咬合功能,當小朋友蛀牙較大時,通常會先牙髓治療,治療所剩下的齒質會變得薄弱,建議幫乳牙裝上乳牙套,以免乳牙再咀嚼時不經意咬裂。
很多家長常常忽略前牙的保健,以為很快就會換牙,蛀掉的牙齒就必須接受治療,以免影響恆牙的生長,讓蛀掉的牙齒恢復原來的樣子,不僅讓孩子在外觀上的改變,咀嚼也不是問題,也不再有疼痛感,給孩子們自信與健康,其實小朋友讓牙齒美觀後他們得自信心跟快樂是大人沒辦法理解的(陳醫師許多年的感覺)

空間維持器的目的是為了將提早拔除的乳牙空間維持下來,
將來恆牙萌發時才不會因空間不足而排列不整。