※誠樂提供多位專業醫師協助,各個療程因個人需求、狀況而有不同,皆致力達到完美需求※
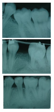
台灣的牙周病病人比例很高,但是大多數病人都沒有得到完善的治療,牙周病是一種細菌感染的疾病,因此罹患牙周病,也對全身健康有影響,如糖尿病、高血壓。
而且牙周病常會造成牙齦萎縮、牙齒移位、動搖、口臭等症狀表現,妨害生活品質,
而牙周病專科醫師可以提供給病人較專業及較完善的牙周病治療,幫助病人恢復口腔健康,同時改善生品質。
或許每人都聽過牙周病,只是並非完全了解它是什麼疾病,簡單的說牙周就是牙齒的周圍組織,
包括齒槽骨、牙齦等,一般人常只見牙齒本身的狀況,但常忽略不易看見的牙周組織。
什麼是牙周病?
對於”牙周病”這個名詞,大部分的人聽說過,但是究竟牙周病是什麼樣的疾病,卻一無所知。簡單的說”牙周病”是牙齒周圍的組織發炎,並且受到破壞的疾病。那麼牙齒周圍的組織指的又是什麼呢?牙周組織包括了牙齦(牙肉)牙齦下的齒槽骨、牙齦最下方的牙骨質與牙跟之間的牙周膜。因此牙周病包括牙齦炎與牙周炎。
5. 導航植牙:

數位導航植牙模擬牙型
圖片摘自https://www.facebook.com/SmileDesignerPro/photos_stream
植牙技術日新月異,以往使用電腦斷層,現在可透過電腦模擬系統,把植牙的數量、位置、角度預先模擬樣式做出模板,一次完成多顆植牙,傷口小,復原快,不僅提升準確度,滿意度也大大提高。數位模擬系統也可應用於現今流行的美齒貼片,打造專屬微笑曲線。


