首頁
關於我們
誠樂牙醫
門診時間
醫師團隊
品牌介紹
最新消息
科別介紹
預約看診
新知案例
目前位置:
首頁
科別介紹
齒顎矯正
新知案例
【明星整牙】經典「雞姐」大鋼牙 莫文蔚也戴過牙套
【明星整牙】經典「雞姐」大鋼牙 莫文蔚也戴過牙套
圖片轉自 網路
◀ 先來一張漂亮的照片,清新自然的氣質也是莫文蔚獨具魅力的特色
前幾天小編看到莫文蔚出道20年的新聞,當然不外乎的一定要提到《食神》裡的「雞姐」造型,只能說經典的讓人無法忘懷XD
莫文蔚自己提過童年時也做過矯正,甚至覺得全身最性感的地方就是一口整齊的牙齒。
其實小編有職業病,看到牙齒總會開始研究一番,莫文蔚的兩顆兔寶寶門牙也算是她的個人標記,完全不影響她在小編心目中的女神地位!
牙齒重點其實就在於潔白、整齊,給人感覺也會健康又充滿自信。
▼《食神》的雞姐造型,你可以再近一點~啾咪^.<
圖片轉自 網路
說真的,小編翻找了資料,沒有差異如此大的案例可以分享....畢竟,
從雞姐要變莫文蔚根本就是整形啊!
劇中的確是大鋼牙擋下子彈後醫生除了整牙還整容讓她脫胎換骨....
不過牙齒矯正後,也是有人覺得前後差異大到像整形,往往都是看了照片才知道,小編自己也常常讚嘆不已呢!
▼不說的話,你覺得她是同一個人嗎?
(陳煥文醫師案例分享)
圖片案例 牙齒矯正前後比對效果
「牙齒矯正完,連鼻子都變挺了!」這是很多人的感想。
其實是基因的關係,普遍東方人鼻子較扁塌,所以
上顎只要比較突出,就會讓下巴的線條完全不見
。
這張比對圖更能明顯的看出來,只要牙齒後退,下巴變明顯,鼻子就更立體了!很神奇吧~ヽ( ^∀^)ノ
其實不只外觀上的差異,咬合改變也讓牙齒能夠真正發揮作用,發音、咀嚼食物…等等,連她本人都很驚訝,朋友們覺得完全變了一個人。
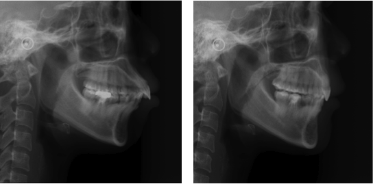
▼ 側面X光讓人無比震驚,前後變化更明顯
(陳煥文醫師案例分享)
圖片案例 牙齒矯正前後比對效果
人人都有想變漂亮的心,重要的更是由內而外的美麗,醫學上雖然矯正的出發點不是為了變美,但是因為牙齒排列改變,咀嚼的習慣也會調整,整體來說,
不只改變外觀,也讓牙齒發揮真正咀嚼的功能
。
圖片轉自 網路
最後,雞姐表示:雖然沒有我漂亮,但也很美了~(誤)
歡迎來找 陳煥文醫師 諮詢矯正,不管幾歲,成為你想要的樣子,永遠不嫌晚哦~
醫師簡介
陳煥文
Huan-Wen Chen D.D.S.
專長
兒童青少年牙科、齒顎矯正
佳醫誠樂牙醫院長
台灣大學牙醫學系
佳醫美人牙醫、佳醫誠樂牙科群齒顎矯正暨兒童牙科主治醫師
臺大醫院兒童牙科主治醫師
中華民國兒童牙科醫學會專科醫師/理事/監事
中華民國齒顎矯正醫學會
台灣口腔矯正醫學會
世界臨床雷射醫學會
APLI亞太雷射教育學院副院士
國際兒童牙科醫學會(IAPD)
Tweet
療程介紹
齒顎矯正
兒童青少年牙科
美容美白/假牙
微創植牙/牙周病
顯微根管
口腔外科
家庭牙科
熱門關鍵字
顯微根管治療
全口重建
齒顎矯正
兒童青少年牙科
植牙
牙周病
小小牙醫
舒眠
嚴重蛀牙
兒童牙醫
美白貼片
拔智齒
熱門文章
齒顎矯正介紹
齒顎矯正Q&A
我適合那一種牙齒美白?
全口植牙重建人工植牙
矯正