首頁
關於我們
誠樂牙醫
門診時間
醫師團隊
品牌介紹
最新消息
科別介紹
預約看診
最新消息
目前位置:
首頁
最新消息
【兒童牙科‧ 長牙篇】為什麼牙齒頭上長個包?
【兒童牙科‧ 長牙篇】為什麼牙齒頭上長個包?
※誠樂提供多位專業醫師協助,各個療程因個人需求、狀況而有不同,皆致力達到完美需求※
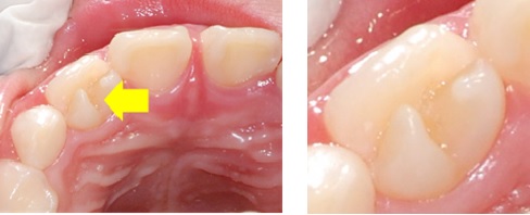
為什麼牙齒頭上長個包?
張懿丹醫師
齒外齒
(Dens Evaginatus,後牙又稱 中央牙阜 Central Cusp,前牙稱作Talon cusp)
齒外齒
是一種亞洲人常見的牙齒形態發育異常,臨床特稱是好發於小臼齒咬合面,形成結節(tubercle)狀突起;
少數在前牙的例子,則是在舌側長出像鷹爪狀的突起。(如下圖)
結節突起的構造一樣有牙釉質及牙本質,底下也有牙髓神經延伸至此,突起的形態使得咬合力集中在此處,
容易發生過度磨耗甚至整個牙阜斷裂
,導致底下牙髓暴露而感染、壞死。
最好能在牙齒剛萌發(約9歲~11歲) 以樹脂將整個中央牙阜覆蓋住,避免咬合磨耗,
中央牙阜周圍也需填補起來,做預防性補強,避免過强咬合力造成中央牙阜斷裂。
若會咬到對咬牙,須將對咬牙的咬合干擾磨除,並塗上氟漆強化牙釉質。
中央牙阜有時也容易造成牙髓壞死,則需進一步作根管治療。
張懿丹
Yi-Tan Chang D.D.S.M.S
專長
兒童青少年牙科、齒顎矯正、口腔雷射
台灣大學牙醫學系
台灣大學兒童牙科碩士
中華民國兒童牙醫學會專科醫師
APLI亞太雷射教育學院院士認證會員
Tweet
療程介紹
齒顎矯正
兒童青少年牙科
美容美白/假牙
微創植牙/牙周病
顯微根管
口腔外科
家庭牙科
熱門關鍵字
顯微根管治療
全口重建
齒顎矯正
兒童青少年牙科
植牙
牙周病
小小牙醫
舒眠
嚴重蛀牙
兒童牙醫
美白貼片
拔智齒
熱門文章
齒顎矯正介紹
齒顎矯正Q&A
我適合那一種牙齒美白?
全口植牙重建人工植牙
矯正