最新消息

【蘋果日報】8成幼兒齲齒 雷射溝隙封填顧牙 @ 「陳煥文醫師」專訪

01-250.jpg

※誠樂提供多位專業醫師協助,各個療程因個人需求、狀況而有不同,皆致力達到完美需求※

報導╱黃子倫攝影╱施偉平 部分圖片╱陳煥文醫師提供

2014年08月03日【蘋果日報】育兒事

據國民健康署統計,台灣5歲兒童齲齒率已近8成(79.32%),開業牙科診所院長陳煥文表示,幼兒在4∼6個月長第一顆牙就要開始潔牙,而到2∼3歲乳臼齒長出來後,應及早到兒童牙科進行雷射溝隙封填,以免口腔細菌跟食物中醣類侵害琺瑯質造成蛀牙,引起發音、美觀上的困擾,更可能讓日後恆牙生長異常。

-----
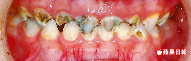
▲ 蛀牙常導致牙齦與口腔疼痛不適。

陳煥文醫師指出,幼兒蛀牙一般是因口腔衛生不良引起,當含醣類食物如配方奶、青菜豆類米飯等副食品的殘渣停留在口腔中,就容易與細菌混合在一起黏附在琺瑯質上,若疏忽以紗布巾、牙刷等清潔牙齒與口腔,當牙齒生成牙菌斑,進而產生脫鈣作用,就會慢慢引起齲齒。 

多數家長認為乳牙早晚都要換成恆牙,不用特別照顧,但其實2歲半到3歲的幼兒會長齊最後一顆乳牙,一直到小學畢業12歲前才會全部換成恆牙,使用乳牙的時間長達6∼10年,若疏忽照料形成齲齒,可能影響美觀、zi、ci等齒音難發聲,與缺乏咀嚼大塊食物的能力,也會讓恆牙萌發異常,造成錯位畸形。 


 蛀牙未處理,也會影響美觀。


 愛吃糖果等甜食,易引起蛀牙,當乳牙蛀掉常會影響發音。


 雷射溝隙封填可預防乳臼齒蛀牙。

雷射溝隙封填 保護乳臼齒
要避免蛀牙生成,陳煥文醫師強調,幼兒在4∼6個月長第一顆牙就要開始潔牙,可選擇紗布巾清除口腔的奶垢,並使用兒童牙刷清潔牙齒,牙膏只要挑選有含氟化物即可,當乳牙縫隙難清除時,家長也可協助使用牙線清潔。

另外,當2至3歲乳臼齒長出後,就可藉由雷射溝隙封填達到預防蛀牙的效果,其原理是先用雷射光纖對水分與蛀牙有氣化蒸發的作用,儘可能將乳臼齒溝隙中的蛀牙結構徹底清除,並填補上一層流動樹脂可強化琺瑯質的表面,每顆乳臼齒自費約800~1500元,一次填補8顆,通常可維持02∼3年左右。



 兒童牙科醫師帶小朋友認識器具,減少排斥感。試著讓小朋友手握牙科醫療器材,有助消除恐懼。


 家長可在每天早晚協助幼童刷牙。進食完可用牙線清除乳牙縫隙殘渣。

定期 牙齒檢查
幼兒要照顧好牙齒,建議在孩子長出第1顆牙齒後6個月內接受第一次口腔檢查,此後,每半年到一年應帶孩子接受口腔檢查,平時要盡量避免甜食、飲料等,以免清潔不慎,加速牙齒破壞,造成齲齒狀況嚴重。

而多數孩童會害怕到牙科就診,連帶讓家長帶孩子就診的意願跟著降低,其實兒童牙科醫師常用簡單易懂的字眼,進一步讓幼童瞭解治療的內容,並展示器材如軟管、空氣噴槍等,再引導幼童示範將要進行的步驟,然後才著手治療,簡稱「解說、展示、操作(Tell-Show-Do)」,可有效消除幼兒看牙的恐懼。 

 當幼童哭鬧不休時,陳煥文醫師示範可拿些氣球道具安撫小孩子。


 在幼童完成檢查與治療後,給貼紙獎勵有助增加小朋友下次看診意願。


 建議每半年可帶小朋友到兒童牙科檢查牙齒。

【陳煥文醫師】說
照顧幼童牙齒,家長有百分之百的責任,也可趁帶幼童至兒童牙科就診時,向醫師請教潔牙的時機與方法,維護小孩牙齒健康。

-----
原文連結:http://www.appledaily.com.tw/appledaily/article/supplement/20140803/35997429/

醫師簡介

陳煥文Huan-Wen Chen D.D.S.

專長

兒童青少年牙科、齒顎矯正
佳醫誠樂牙醫院長
台灣大學牙醫學系
佳醫美人牙醫、佳醫誠樂牙科群齒顎矯正暨兒童牙科主治醫師
臺大醫院兒童牙科主治醫師
中華民國兒童牙科醫學會專科醫師/理事/監事
中華民國齒顎矯正醫學會
台灣口腔矯正醫學會
世界臨床雷射醫學會
APLI亞太雷射教育學院副院士
國際兒童牙科醫學會(IAPD)



佳醫誠樂牙醫 / 佳醫美人牙醫 / 誠悅牙醫

----


【熱門搜尋】

顯微根管  /  美容美白  /  齒顎矯正  /  兒童青少年牙科  /  植牙  /  牙周病  /  小小牙醫體驗營

 

【熱門文章】

齒顎矯正介紹  /  齒顎矯正Q&A  /  我適合哪種牙齒美白  /  全口重建植牙