兒童牙醫 (寶貝的門牙怎麼還沒長出來)

  • 07 Oct 2015

※誠樂提供多位專業醫師協助,各個療程因個人需求、狀況而有不同,皆致力達到完美需求※當大部分小朋友六歲陸續開始換牙時,有的寶貝卻遲遲不見新牙冒出。叫家長好心急。甚至有些小朋友一直到三、四年級大門牙都還沒長出來,到底小朋友的換牙過程出了什麼狀況 ...

More

兒童牙醫 (為什麼剛換的牙齒特別大)

  • 07 Oct 2015

※誠樂提供多位專業醫師協助,各個療程因個人需求、狀況而有不同,皆致力達到完美需求※大部份牙齒大小與遺傳有關,但是剛換牙時,有很多家長會覺得比較大顆呢?原因應該是旁邊的乳牙還沒掉,讓你在視覺上有了比較,因此會有這樣的感覺!接近乳恆齒交換期,乳 ...

More

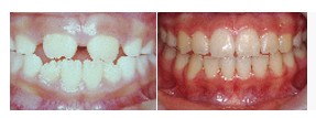
兒童牙醫 (門牙有縫- 是暫時的)

  • 07 Oct 2015

※誠樂提供多位專業醫師協助,各個療程因個人需求、狀況而有不同,皆致力達到完美需求※在門牙剛剛露出牙齦,初換正中門齒時,家長通常會緊張幾個問題。例如門牙怎麼開開的;左右兩側的門牙怎麼不一樣長;門牙生長的速度怎麼不一樣;門牙形狀怎麼凹凸不平…等 ...

More

兒童牙醫 (乳牙換恆齒)

  • 07 Oct 2015

※誠樂提供多位專業醫師協助,各個療程因個人需求、狀況而有不同,皆致力達到完美需求※其實恆齒在幼兒時期就已經開始鈣化牙冠部分;如表一。所以乳齒的牙根下面已有恆牙牙胞存在了。所以如果不好好照顧乳齒,恆牙的發育也會受到影響。

More