兒童青少年牙科

兒童牙醫(什麼是奶瓶型齲齒)

  • 14 May 2014

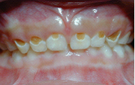
※誠樂提供多位專業醫師協助,各個療程因個人需求、狀況而有不同,皆致力達到完美需求※ 奶瓶型齲齒是指寶寶常因喝奶有飽足感而容易熟睡,睡著了還含著奶瓶,由於寶寶的吞嚥習慣是將舌頭往前往上頂,因此未吞下的牛奶都含在上顎,造成上顎前牙長期浸泡在 ...

More

兒童牙醫(小朋友第一次看牙時)

  • 14 May 2014

※誠樂提供多位專業醫師協助,各個療程因個人需求、狀況而有不同,皆致力達到完美需求※小朋友對於上牙醫診所就診總是有著莫名的恐懼,害怕冰冷的診療室,害怕發出怪聲音的醫療機械。家長在帶小朋友到牙科看診時必須先給他心理建設,要用鼓勵的方式,使小朋友 ...

More

兒童牙醫(牙菌斑是頭號敵人)

  • 14 May 2014

※誠樂提供多位專業醫師協助,各個療程因個人需求、狀況而有不同,皆致力達到完美需求※兒童口腔中常見的問題,首推齲齒,也就是蛀牙,其次為牙周病、咬合不正與牙齒外傷。不論蛀牙與牙周病〈兒童牙周病以牙齦炎為主〉都是由同一個禍首引起,那就是「牙菌斑」 ...

More

兒童牙醫(小朋友長牙時會有什麼症狀)

  • 14 May 2014

※誠樂提供多位專業醫師協助,各個療程因個人需求、狀況而有不同,皆致力達到完美需求※兒童牙醫(小朋友長牙時會有什麼症狀)     一般在長牙時,家長常會發現寶寶口水增多,也 ...

More

兒童牙醫(牙牙仙子提早飛走了)

  • 14 May 2014

※誠樂提供多位專業醫師協助,各個療程因個人需求、狀況而有不同,皆致力達到完美需求※ 活潑好動的小朋友每天跑跑跳跳,難免有跌倒撞傷的時候,顏面部分最常發生的就是門牙斷裂,或者嘴唇的挫傷。 門牙撞傷後可能發生的後遺症包括 1. ...

More